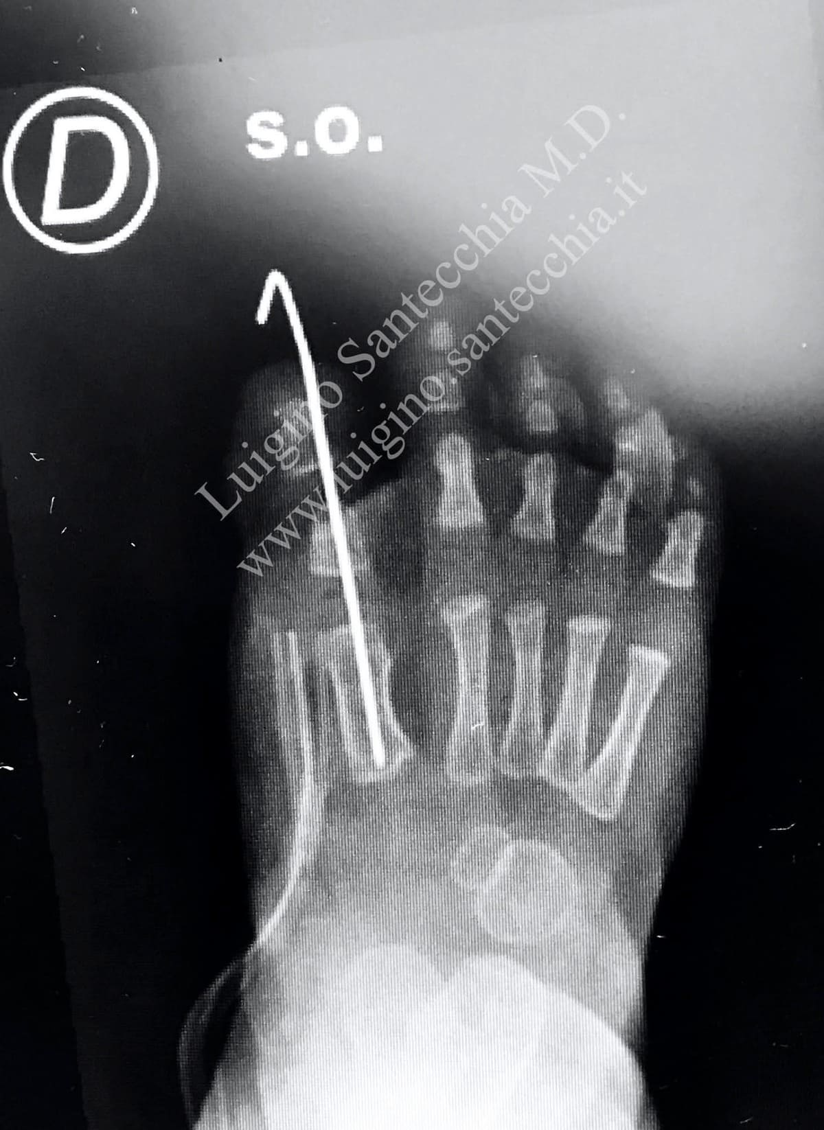
Fusion in valgus condition of two fingers
Before Surgical treatment
After
Testo Modal
SPECIALISTA IN CHIRURGIA PLASTICA, RICOSTRUTTIVA ED ESTETICA. PERFEZIONATO IN MICROCHIRURGIA E CHIRURGIA DELLA MANO PEDIATRICA
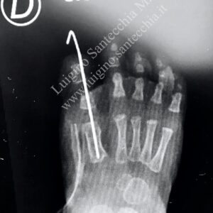
Fusion in valgus condition of two fingers
Before Surgical treatment
After